顔のけが

顔のけがの治療で大切なことは、「きれいになおす」ということです。縫合する場合、テープだけで治す場合など臨機応変に対応し、できるだけ楽に、きれいに治すことを心がけています。
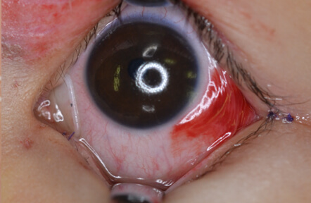
もう一つ大事なことは重要な組織が損傷されていないことです。頬やこめかみの怪我では顔面神経が切れることがあります。その場合、顔の表情に左右差が出ます。目頭の怪我では涙道損傷になることがあります。ひどい涙目の後遺症が出ることがあります。いずれも受傷早期での修復手術が必要になります。後遺症になってからの治療は大変困難です。

<重症例>




<重症例その2>




個々の患者様の状態により治療の結果は異なります。
治療に関するリスク、副作用は?
出血、感染、傷跡、肥厚性瘢痕、ケロイド、瘢痕拘縮 等。
個々の患者様の状態により治療の結果は異なります。
治療にかかる費用
保険診療
